AE-Adult-Echocardiography AE Adult Echocardiography Examination Questions and Answers
A patient presents with tender, red lesions on their fingers and toes (Osier nodes). Which finding is most likely?
Which maneuver aids in uncovering potential diastolic dysfunction while performing pulsed wave Doppler of the mitral valve?
Which patient body positioning and respiration technique is optimal for obtaining the subcostal view?
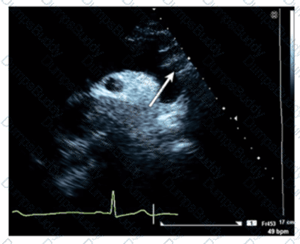
Which valve and secondary finding are associated with the 'flying W sign on spectral Doppler and M-mode?
Which of the following measurements is required for calculating the Qp/Qs ratio?
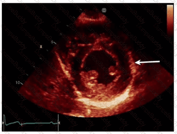
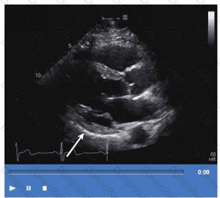
Which left ventricular regional wall segment is indicated by the arrow on this image?

Which technique best determines a trileaflet aortic valve from a bicuspid aortic valve?
Which procedure is most appropriate for evaluation of an atrial septal defect in the presence of an atrial septal aneurysm?
Which sonographic views allow visualization of a patent ductus arteriosus (PDA)?
Which echocardiography assessment requires mitral inflow pulsed wave, pulmonary venous pulsed wave, and tissue Doppler of the mitral annulus?
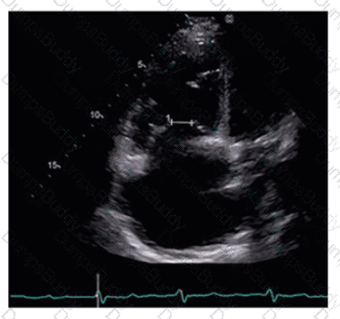
Which method is appropriate for measuring the left atrial diameter in parasternal long axis?
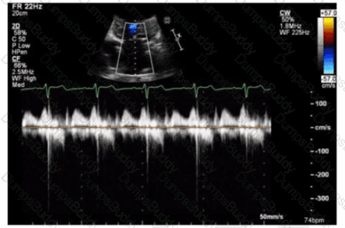
Which next step is appropriate after obtaining the Doppler signal in this image?

Which of the following can be calculated from the peak tricuspid regurgitant velocity?
Which of the following occurs during the strain phase of the Valsalva maneuver?
Which patient positioning is best for obtaining the waveform seen in this image obtained by a non-imaging transducer?

How must the sonographer angle the transducer from the apical four-chamber view in order to visualize the aortic valve in the apical five-chamber view?
Acute severe aortic regurgitation leads to a marked increase in which pressure?
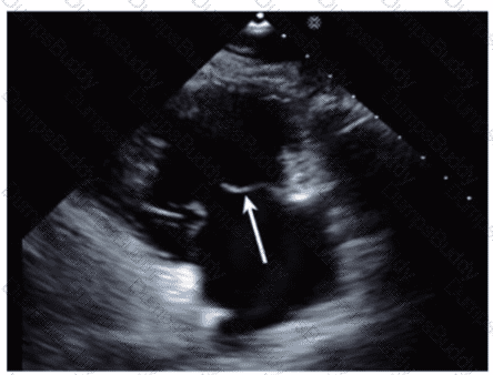
Which type of mass is typically attached to the fossa ovalis of the left atrium?









