AB-Abdomen Abdomen Sonography Examination Questions and Answers
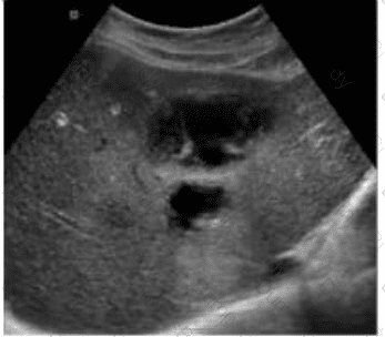
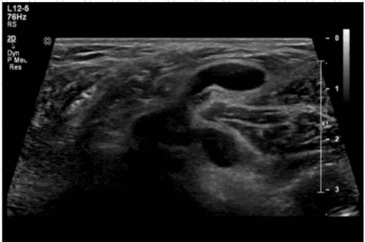
Which abnormality is depicted in this image of a patient who presents with a fever following a liver biopsy?

Which pancreatic condition is commonly associated with complete or partial atresia of the duodenum?
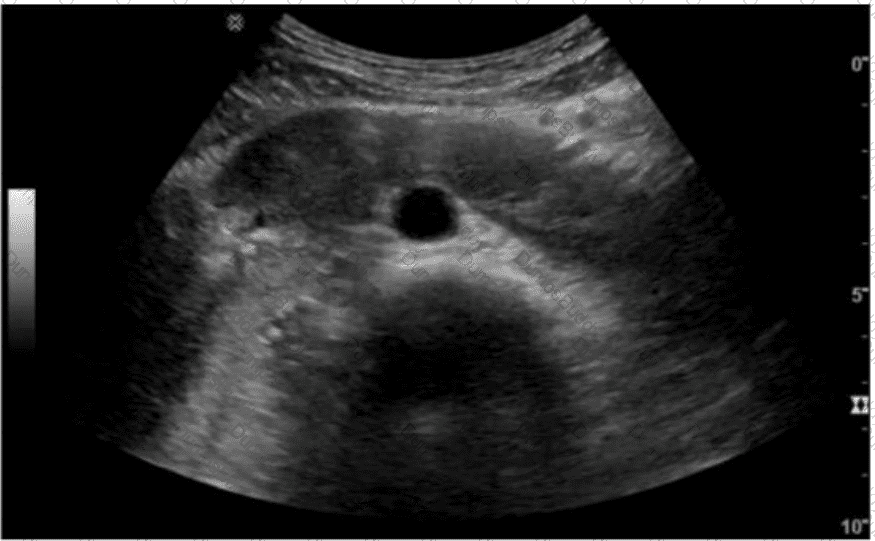
Which condition results in the vascular abnormality shown in this image of a renal transplant?

Which condition is characterized by abnormal dilatation of veins of the pampiniform plexus and most commonly affects the left testicle?
Which vascular condition is most likely associated with the sonographic findings demonstrated in this image?

Which diagnosis is most consistent with this image from a patient with acute scrotal pain?

Which description is associated with the normal sonographic appearance of a tendon?
A patient presents with ampulla of Vater obstruction, distention of the gallbladder, and painless jaundice. Which condition is most likely associated with these findings?
Which condition is most likely in a patient presenting with weight loss and fatigue along with elevated liver enzymes, elevated potassium, and decreased sodium?
Which syndrome is characterized by right upper quadrant pain, ascites, and hepatocellular dysfunction?
A patient with hepatocellular carcinoma presents for a paracentesis. Which lab value is the most pertinent to the procedure?
Which normal anatomical structure is also known as the accessory pancreatic duct?
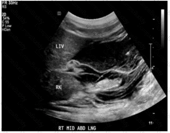
Which condition is most consistent with thinning of the renal cortex, reduction in renal length, and prominence of the renal sinus fat in a patient presenting four months after renal transplant with slightly reduced renal function?
Which vessel is typically seen with an echogenic ring of fat when imaging the upper abdominal mesenteric circulation?
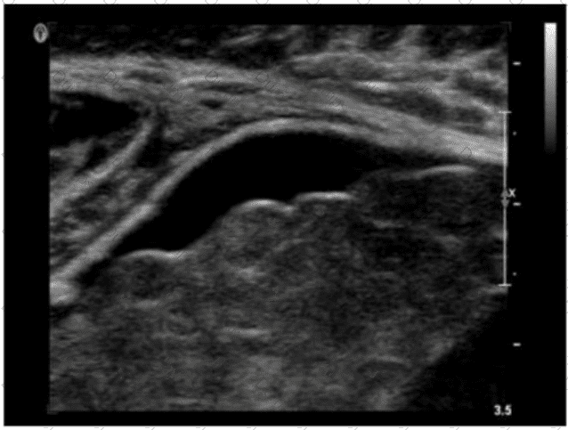
Which common congenital anomaly is typically seen as a cystic midline anterior neck structure?
Which lymph node shape is concerning for malignancy in the post-thyroidectomy neck?
Which condition is most likely associated with a common bile duct measuring 5 mm?
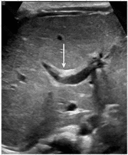
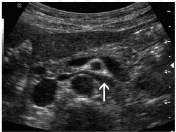
Which congenital disorder is most consistent with the finding identified by the arrow on this image?

Which portion of the biliary system is last to become dilated with biliary obstruction at the ampulla of Vater?
Which vascular condition is most consistent with patent cutaneous para-umbilical channels and portal hypertension?
Beginning at the renal artery, what is the correct sequence of arterial branching?
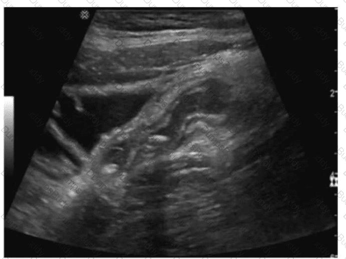
Which structure is most likely shown in this image of the right lower quadrant?

Which condition is most likely the cause of claudication experienced two weeks after this image was obtained?







